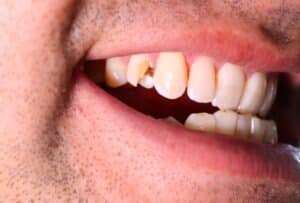
A chipped tooth can happen to anyone at any time—in a 2013 study, over 66% of people had at least one cracked molar, making this an extremely common condition. Whether it’s from a fall, an accident, or simply biting down on something too hard, it’s a painful and sometimes embarrassing occurrence. However, leaving a chipped tooth untreated can have multiple negative outcomes, including infection or tooth loss if it’s severe enough. In this blog post, we’ll explore what you need to know about having a chipped tooth, what to look out for, what you can do about it, and how Yazdani Family Dentistry can help.
Causes of a Chipped Tooth
A chipped tooth can happen in a variety of ways, from a direct impact causing an immediate break to the slow decay of enamel over time. Here are a few reasons why you might get a chipped tooth:
- Trauma: A blow to the face or mouth is one of the most common causes of a chipped tooth. Trauma like this will most commonly occur during contact sports, like being on the receiving end of a ball or puck to the face.
- Biting on hard objects: This can include ice, popcorn kernels, hard candy, pens and pencils, or any other items. Even using your teeth to tear open packages can cause a chip to occur.
- Tooth decay: Decay weakens the tooth structure, making it more susceptible to chips and fractures.
- Teeth grinding: Bruxism, also known as teeth grinding, can cause excessive wear and tear on your teeth, leading to accidental damage. If you grind your teeth in your sleep, it’s important to get fitted for a night guard to protect them from continued and further damage.
What Happens When a Tooth is Chipped?
When a tooth chips, the physical structure is altered. This can range from a minor situation that only affects the outer layer of your enamel to something more severe that exposes the inner layers:
- Enamel (outer layer) chip: If only the outer layer gets chipped, your tooth may feel sensitive or rough to the touch.
- Inner layer chip: The inner layers of your tooth include the dentin and pulp, which contain nerves and blood vessels. If the damage extends beyond the enamel and reaches these underlying nerves, it can cause intense pain and sensitivity.
- The root: If you chip your tooth down to the root, it can be extremely painful and may result in an infection if left untreated.
Symptoms of a Chipped Tooth
The symptoms of a chipped tooth can vary depending on the severity and whether or not it has reached the inner layers. Some common experiences include:
- Sensitivity: This can include sensitivity to hot, cold, or sweet foods and drinks.
- Pain: A chipped tooth may cause pain or discomfort, especially when biting or chewing. Pain from a chipped tooth can be very low to nearly zero or incredibly sharp and impossible to ignore. Any change in sensation should be noted, no matter how small.
- Rough or sharp edges: If the chip is minor and only impacts the outer layer of the enamel, the affected area may feel rough or sharp.
- Visible damage: Depending on the location, your chipped tooth may be noticeable when smiling or talking.
- Swelling: In some cases, you may experience swelling or inflammation in the gums surrounding the affected tooth.
- Bleeding: This may occur if the fracture has gone deep enough to expose the nerve, and will be accompanied by severe pain.
- Difficulty chewing: Depending on the location and severity of your chipped tooth, you may experience difficulty chewing your food.
- Lisp or difficulty speaking: We use our teeth for speech, so having a chipped tooth—especially a front tooth—may result in a lisp or difficulty speaking.
Immediate Care for a Chipped Tooth
Rinse Your Mouth With Salt Water
As soon as you realize you’ve chipped your tooth, it’s important to immediately rinse your mouth, as blood, food debris and other bacteria can linger and cause potential infection. By rinsing your mouth with warm salt water, you will not only reduce the pain from the incident and lower the probability of infection.
Apply Pressure
If you notice bleeding of any extent from the tooth or mouth, you should immediately apply pressure to the area. Keep in mind that it’s most sanitary to use clean gauze or a cotton pad to do this.
Use Ice or a Cold Compress
If you’re experiencing mouth pain from the chipping, apply ice to the outside of your mouth where you chipped the tooth. This will help relieve any pressure and should reduce swelling and inflammation.
Pain Medication for Severe Pain
If you are still experiencing severe pain after taking these initial steps, take an over-the-counter pain reliever and anti-inflammatory such as ibuprofen. Ensure you follow the directions on the label and don’t exceed the recommended dose.
Watch What You Eat
Until you can see your dentist, we recommend eating strictly soft foods or liquids. This will help prevent further chipping and keep the pain in your mouth at a low level.
Schedule a Dental Appointment
Even if the chip seems minor, scheduling an appointment with your dentist as soon as possible is essential. They can examine the area and recommend the appropriate treatment based on the severity of the damage to help relieve pain and restore your smile. If the chip is severe, scheduling an emergency appointment may be necessary to prevent infection or further damage to your mouth and jaw.
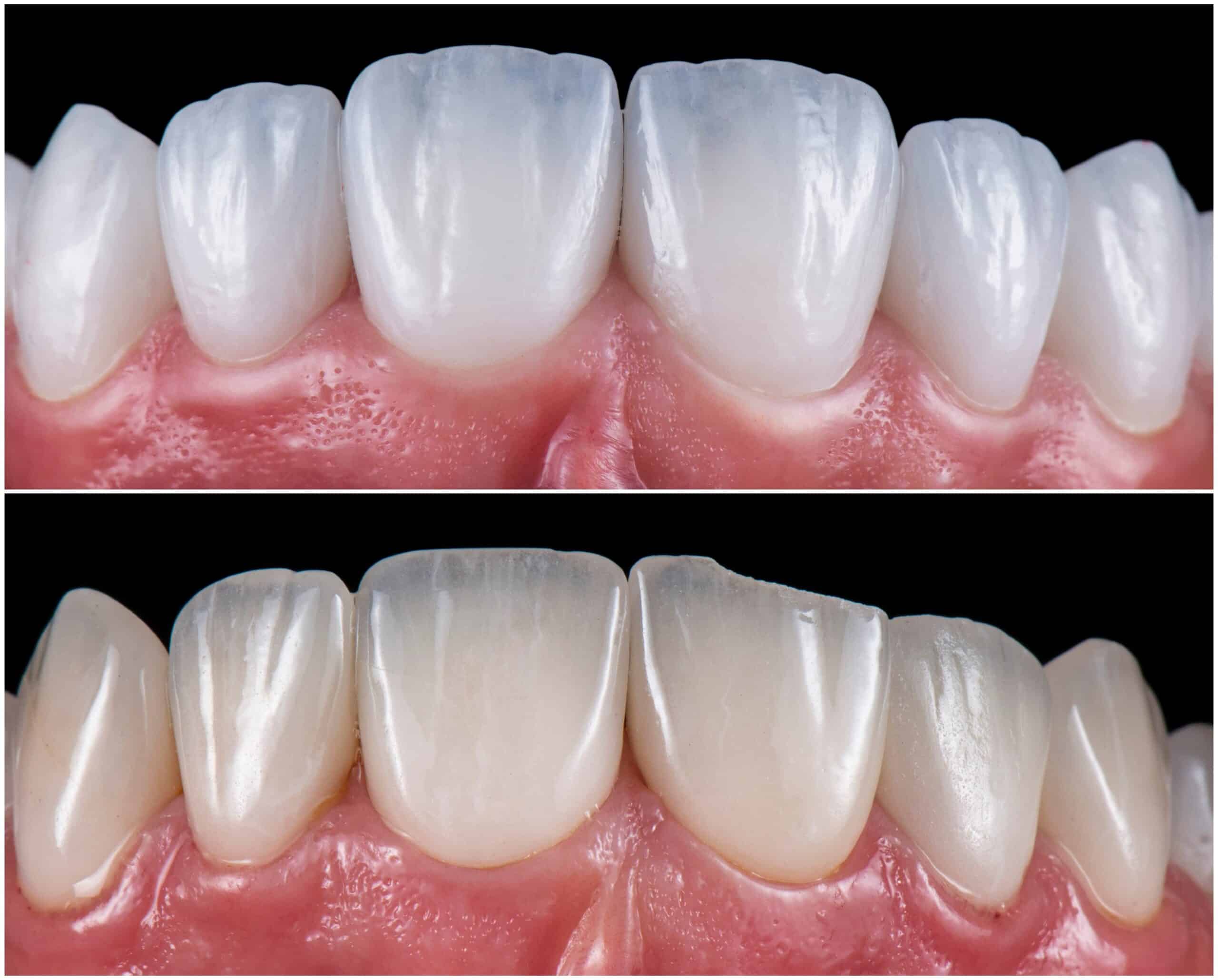
Treatment Options for a Chipped Tooth
There are several dental repair options available for a chipped tooth, depending on your unique circumstances. Here are some of the most common options:
Dental Bonding
This procedure involves applying a tooth-coloured resin to the chipped area and then shaping and polishing it to match the surrounding teeth. Dental bonding is a quick and effective option for repairing minor chips.
Dental Veneers
Dental veneers are thin, custom-made shells that your dentist will bond to the front of your teeth. They can help repair more severe chips by improving the appearance of the affected tooth. Dental veneers are also popular for those with crooked teeth to create a more uniform smile.
Dental Crowns and Onlays
Dental crowns are custom-made caps that cover the entire tooth to restore its shape, size, and strength. They are often used for larger chips or to protect a weakened tooth from further damage.
Onlays, on the other hand, are partial crowns that can repair your tooth’s biting surface. These will only cover the affected part instead of the entire tooth.
Root Canal
If the damage has exposed the inner layers of your tooth and caused nerve damage or an infection, a root canal may be necessary. This procedure removes the infected or damaged tissue from the tooth and fills it with a material to protect it and restore its strength.
Long-Term Consequences of a Chipped Tooth
Ignoring a chipped tooth can lead to a range of dental problems, including:
- Tooth sensitivity
- Further tooth decay
- Gum disease
- Cracked tooth syndrome, where the tooth develops tiny cracks that cause pain and sensitivity when biting down
- Increased risk of further damage
- Infection
- Tooth loss
Going to a dentist to get a chipped tooth repaired is vital to preventing these potential outcomes and preserving your teeth and your smile.
Preventing Chipped Teeth
While you can’t avoid every cause of chipped teeth, such as accidents where you bump your head or mouth, there are protective measures that you can take to reduce the risks of chipping your teeth.
- Wearing a mouthguard while engaging in contact sports or a night guard if you grind your teeth in your sleep,
- Brush your teeth regularly and properly to prevent enamel decay.
Regular dental habits and proper dental care both contribute to maintaining strong teeth and making sure that your teeth don’t chip easily.
The Importance of Taking Care of a Chipped Tooth
A chipped tooth, while common, is a dental issue that shouldn’t be taken lightly. The symptoms and severity of a chipped tooth vary, but prompt and proper care is crucial to prevent further complications.
Immediate steps such as rinsing with salt water, applying pressure to stop bleeding, using a cold compress, and taking pain medication can provide temporary relief. However, scheduling a dental appointment for a thorough examination and appropriate treatment is essential—dental bonding, veneers, crowns, and root canals are among the various repair options available, depending on the extent of the damage.
Ignoring a chipped tooth can lead to increased sensitivity, decay, gum disease, and even tooth loss. Therefore, taking preventive measures, like wearing mouthguards and maintaining good oral hygiene, can significantly reduce the risk. Ensuring timely and proper care for a chipped tooth will help preserve your dental health and maintain your smile. Reach out to us at Yazdani Family Dentistry to book an appointment so we can assess the level of damage and recommend an appropriate treatment option to repair your chipped tooth.